История пациента
Долгожданная улыбка, за которой стоило ехать через всю Карелию!
Ход лечения
Отзыв пациента
Наша клиника ежемесячно переделывает десятки «неудачных» работ после других клиник. Перед выбором клиники и врача, изучите наш раздел с историями пациентов и с чем они сталкиваются.
Неудачно сделанные несъёмные протезы могут привести к ряду серьёзных проблем, как с точки зрения здоровья, так и с точки зрения эстетики и качества жизни. Вот некоторые из них:
Проблемы со здоровьем:
- Воспаление дёсен (гингивит и пародонтит): Неправильная посадка протеза, нависающие края или некачественная гигиена могут привести к скоплению бактерий и воспалению дёсен.
- Повреждение костной ткани: Давление протеза на кость, особенно при неточной посадке или неправильном распределении нагрузки, может вызывать резорбцию (рассасывание) костной ткани. Это может привести к расшатыванию имплантатов или опорных зубов.
- Инфекции: Недостаточная гигиена или микротрещины в протезе могут стать источником инфекции в ротовой полости.
- Нарушение прикуса: Неправильно смоделированный прикус может вызывать боли в челюстных суставах, головные боли, затруднения при жевании и речи.
- Повреждение соседних зубов: Если протез оказывает избыточное давление или трение на соседние зубы, это может привести к их повреждению, сколам эмали и повышенной чувствительности.
- Проблемы с пищеварением: Неправильный прикус и затруднённое жевание могут привести к проблемам с пищеварением, так как пища недостаточно пережёвывается перед проглатыванием.
Эстетические проблемы:
- Неестественный вид улыбки: Неправильный цвет, форма или размер протеза могут выглядеть неестественно и не соответствовать внешности человека.
- Нарушение пропорций лица: Неправильно спроектированный протез может влиять на форму лица, визуально изменяя положение губ, щёк или подбородка.
- Неприятный запах изо рта (галитоз): Плохая гигиена или скопление бактерий в труднодоступных местах протеза могут вызывать неприятный запах изо рта.
Проблемы с качеством жизни:
- Дискомфорт и боли: Неправильно установленный протез может вызывать дискомфорт, боли при жевании и разговоре.
- Трудности с речью: Неправильная форма протеза может влиять на артикуляцию и вызывать затруднения при произношении некоторых звуков.
- Психологический дискомфорт: Неестественный внешний вид протеза, трудности при общении и еде могут приводить к стеснению, снижению самооценки и социальной изоляции.
- Невозможность полноценно питаться: Боли при жевании и неудобство протеза могут приводить к ограничению в выборе продуктов питания, что негативно сказывается на здоровье.
Чтобы избежать этих проблем, необходимо обращаться к квалифицированным и опытным специалистам, которые используют качественные материалы и современные технологии. Тщательное обследование, планирование и индивидуальный подход — залог успешного протезирования и долговечной красивой улыбки.
Ход лечения
Долгожданная улыбка, за которой стоило ехать через всю Карелию!
«Здравствуйте, меня зовут Лагута Сергей Николаевич.Я живу в Республике Карелия, и, как и многие, столкнулся с проблемой разрушения зубов. Несколько лет я откладывал вопрос протезирования, но в итоге ситуация стала критической. Начались мои поиски идеального врача и клиники. Я обошёл более 15 стоматологических клиник, как в Карелии, так и в близлежащих регионах. Искал место, где мне смогут предложить не просто решение на сегодня, а долгосрочную перспективу. Именно тогда я услышал о „Диадеме“ в Санкт-Петербурге по рекомендации знакомого, который сам проходил там лечение. Сначала отнёсся к этой идее скептически — ехать так далеко ради зубов? Но, изучив информацию о клинике, врачах и подходах к лечению, я понял, что это может быть именно то, что я искал.
И знаете, я не ошибся! Уже на первой консультации я был приятно удивлён профессионализмом и вниманием врачей. Но самое главное — в „Диадеме“ меня поразило комплексное обследование. Впервые за все мои поиски, перед началом лечения мне провели целых 5 разных видов диагностики! Это и компьютерная томография, и 3D-моделирование, и анализ прикуса, и другие специализированные обследования, о которых я раньше и не слышал.
Именно такой подход внушил мне настоящее доверие. Я понял, что в „Диадеме“ не просто пытаются „залатать“ проблему, а тщательно планируют результат на долгие годы вперёд, учитывая все особенности моего организма и состояние костной ткани.
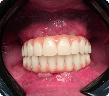
Мне установили несъёмные протезы с фиксацией на 4 имплантатах на верхнюю и нижнюю челюсти. Операция прошла успешно, благодаря мастерству хирургов и современным технологиям. Послеоперационный период был комфортным, а результат превзошёл все мои ожидания! Сейчас я могу улыбаться без стеснения, уверенно есть любую пищу и, самое главное, я знаю, что моя улыбка будет радовать меня долгие годы.
Хочу выразить огромную благодарность всему коллективу стоматологии „Диадема“! Вы — настоящие профессионалы своего дела! Особенно хочу отметить Манжоса Дмитрия Владимировича, Бойцова Игоря Анатольевича за их чуткость, внимательное отношение и индивидуальный подход. Если вы ищете клинику, где вам не просто полечат зубы, а помогут обрести новую, здоровую и красивую улыбку на долгие годы, не тратьте время на поиски. В „Диадеме“ вам гарантирован высочайший уровень сервиса, профессиональное лечение и индивидуальный подход. Даже если вам придётся ехать за этим из другого города — это того стоит!»






