
Протезирование зубов
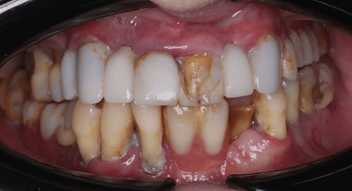
Утрата зубов — это минус уверенность в себе, возможность свободно есть любимую еду, говорить без стеснения, чувствовать себя комфортно в повседневной жизни. Возможно, вы уже столкнулись с ограничениями — перестали улыбаться на фотографиях, избегаете твердой пищи или заметили, как изменилась дикция. Протезирование зубов поможет вернуть улыбку и ощущение полноты жизни.
Похожие услуги
Что такое зубное протезирование
Это способ восстановить утраченные зубы и вернуть себе привычный комфорт, эстетику и свободу. Независимо от того, потеряли вы один зуб или весь зубной ряд, мы вам поможем справиться с проблемой.
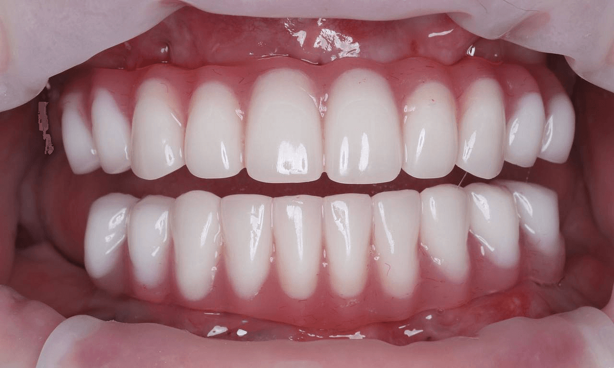
Протез — это искусственная конструкция, которая замещает отсутствующие зубы. Мы проводим протезирование с акцентом на точную диагностику, с учетом ваших пожеланий и клинической ситуации. Конструкции эстетичные, комфортные и долговечные — вы почти не почувствуете разницы между протезом и собственными зубами.
В стоматологии Диадема мы подбираем тип протеза, который действительно решает вашу задачу. Вам не нужно разбираться в материалах и протоколах лечения — мы объясним все понятным языком, покажем варианты и подберем оптимальный.
Протез — это искусственная конструкция, которая замещает отсутствующие зубы. Мы проводим протезирование с акцентом на точную диагностику, с учетом ваших пожеланий и клинической ситуации. Конструкции эстетичные, комфортные и долговечные — вы почти не почувствуете разницы между протезом и собственными зубами.
В стоматологии Диадема мы подбираем тип протеза, который действительно решает вашу задачу. Вам не нужно разбираться в материалах и протоколах лечения — мы объясним все понятным языком, покажем варианты и подберем оптимальный.

Виды зубных протезов
Когда вы приходите к решению восстановить зубы, важно понимать, что протезирование — это гибкий подход. У каждого человека свой запрос: кому-то нужно заменить один зуб, кто-то давно ищет комфортное решение при полной адентии — отсутствии зубов. Поэтому наши стоматологи-ортопеды подбирают протез с учетом ваших пожеланий.
Если вам важно, чтобы восстановленный зуб ощущался как свой, не снимался и выдерживал любую нагрузку — несъемные конструкции подойдут лучше всего. Это может быть одиночная коронка, мостовидный протез или конструкции на имплантах. Их фиксируют стоматологическим цементом или винтами — вы носите такой протез постоянно, он не двигается, не выпадает и внешне не отличается от натуральных зубов.
Это хорошее решение, если по каким-то причинам невозможно поставить импланты или если у вас небольшой бюджет. Мы подбираем качественные протезы, которые плотно прилегают, не натирают и выглядят эстетично. Это может быть полный протез, если утрачены все зубы или частичный — выбор зависит от клинической ситуации. Многие пациенты выбирают такие конструкции как временное решение или в период подготовки к имплантации.
Это максимально надежный, устойчивый и долгосрочный вариант. Имплант заменяет корень утраченного зуба, а на него устанавливают съемный протез. Вариант подходит при единичной утрате зуба и при полной адентии — в этом случае применяются протоколы All-on-4 или All-on-6, когда весь зубной ряд фиксируется на 4 или 6 имплантах. Протезы на имплантах позволяют вам жить так, будто зубы свои — без ограничений, съемных систем, с полной уверенностью в себе.
Несъемные протезы
Если вам важно, чтобы восстановленный зуб ощущался как свой, не снимался и выдерживал любую нагрузку — несъемные конструкции подойдут лучше всего. Это может быть одиночная коронка, мостовидный протез или конструкции на имплантах. Их фиксируют стоматологическим цементом или винтами — вы носите такой протез постоянно, он не двигается, не выпадает и внешне не отличается от натуральных зубов.
Съемные протезы
Это хорошее решение, если по каким-то причинам невозможно поставить импланты или если у вас небольшой бюджет. Мы подбираем качественные протезы, которые плотно прилегают, не натирают и выглядят эстетично. Это может быть полный протез, если утрачены все зубы или частичный — выбор зависит от клинической ситуации. Многие пациенты выбирают такие конструкции как временное решение или в период подготовки к имплантации.
Протезы на имплантах
Это максимально надежный, устойчивый и долгосрочный вариант. Имплант заменяет корень утраченного зуба, а на него устанавливают съемный протез. Вариант подходит при единичной утрате зуба и при полной адентии — в этом случае применяются протоколы All-on-4 или All-on-6, когда весь зубной ряд фиксируется на 4 или 6 имплантах. Протезы на имплантах позволяют вам жить так, будто зубы свои — без ограничений, съемных систем, с полной уверенностью в себе.
Этапы протезирования зубов
Преимущества протезирования в нашей клинике в Санкт-Петербурге
● Комплексный подход. Мы оцениваем состояние зубов, прикуса, десен, костной ткани и подбираем решение, которое будет удобным именно вам — без боли, стеснения и компромиссов.
● Сертифицированное оборудование. Работаем с 3D-сканерами, цифровым моделированием и качественными материалами. Это позволяет точно прогнозировать результат.
● Комфорт на каждом этапе. Мы рассказываем обо всех вариантах, этапах и сроках лечения. Вы заранее знаете, чего ожидать и какие есть альтернативы.
● Честная и понятная цена. Вы получаете полный план лечения с прозрачным расчетом без скрытых платежей. При необходимости можно оформить рассрочку.
● Сертифицированное оборудование. Работаем с 3D-сканерами, цифровым моделированием и качественными материалами. Это позволяет точно прогнозировать результат.
● Комфорт на каждом этапе. Мы рассказываем обо всех вариантах, этапах и сроках лечения. Вы заранее знаете, чего ожидать и какие есть альтернативы.
● Честная и понятная цена. Вы получаете полный план лечения с прозрачным расчетом без скрытых платежей. При необходимости можно оформить рассрочку.

Цены на протезирование зубов
ПроцедураЦена
Приём (осмотр, консультация) врача-стоматолога ортопеда первичный
500 руб.
Приём (осмотр, консультация) врача-стоматолога ортопеда повторный
300 руб.
Культевая вкладка КХС
8 125 руб.
Культевая вкладка из диоксида циркония
27 500 руб.
Культевая вкладка КХС , облицованная керамикой
18 750 руб.
Часто задаваемые вопросы
Какой протез выбрать?
Это зависит от количества утраченных зубов, состояния полости рта и ваших пожеланий. Врач подберет оптимальный вариант после осмотра.
В чем разница между съемными и несъемными протезами?
Съемные можно снимать и чистить, они стоят дешевле. Съемные изделия фиксируются на зубах или имплантатах — они удобнее и выглядят как настоящие зубы.
Сколько длится протезирование зубов?
Съемные протезы изготавливают за 1–2 недели. Несъемные требуют больше времени — от нескольких недель до нескольких месяцев. Срок зависит от вида конструкции и предварительной подготовки.
Отзывы
Рейтинг:
5.0/5.0
Рейтинг:
5.0/5.0
Рейтинг:
5.0/5.0
Рейтинг:
5.0/5.0

Рейтинг:
5.0/5.0

Рейтинг:
5.0/5.0

Рейтинг:
5.0/5.0

Рейтинг:
4.9/5.0
Оборудование центра стоматологии
Aoralscan 3 - интраоральный сканер / Shining 3D
Aoralscan 3 – интраоральный сканер для создания высококачественных трехмерных моделей. Обладает большим спектром интеллектуальных функций, обеспечивая эффективную и высокоточную работу. Обеспечивает высокое качество цифровых слепков.

EzCam - проводная интраоральная камера с автофокусом | Vatech
Камера EzCam позволяет снимать высококачественные изображения в разрешении HD (720p). Масштаб изображения регулируется. Это проводная интраоральная камера с автофокусом для диагностики и консультации пациента. Позволяет снимать высококачественные изображения для диагностики зубного налета и кариеса на ранних стадиях.

Vector Paro Pro - пародонтологический центр (Германия)
«Vector-терапия» – это лучшее, что может предложить Вам консервативная пародонтология, одна из самых эффективных технологий лечения пародонтита и снятие поддесневых отложений и профилактики заболевания пародонта.

Искусственный интеллект Diagnocat при чтении 3D снимков
Diagnocat оценивает более 100 различных параметров зубов и окружающих тканей пациента и выдает результат, совершенно исключающий субъективный взгляд человека.
Точные врачебные диагнозы врачей "Центра стоматологии Диадема" - тому подтверждение

Многофункциональные стоматологические установки
Кабинеты центра стоматологии Диадема оборудованы многофункциональными установками, которые отвечают самым высоким требованиям по качеству, имеют прекрасный дизайн, отдельные блоки для доктора и его ассистента и максимально комфортны для пациента.

Система отбеливания зубов ZOOM 4 Philips
Отбеливание без вреда для эмали всего за 45 минут – с Philips ZOOM! WhiteSpeed это стало возможным!
Philips Zoom – бренд №1 у пациентов в США, желающих получить белоснежную улыбку. И неспроста: система эффективнее отбеливает зубы по сравнению с другими средствами.
Клинически доказанные результаты
1.Система позволяет отбелить зубы за 8 тонов. Чтобы получить роскошный результат, понадобится всего 45 минут плюс немного времени на подготовку. Быстро, комфортно и безопасно.
2.Отбеливание подразумевает использование специального геля из набора Zoom Chairside и светодиодной лампы нового поколения.
3.Philips ZOOM! WhiteSpeed гарантирует просто ошеломляющий результат. Это инновация в сфере отбеливания зубов. Ваши клиенты будут в восторге

Микроскоп операционный Just Vision micro JVM
На сегодняшний день стоматологический микроскоп является незаменимым помощником в работе врача-стоматолога. Такое современное стоматологическое оборудование позволяет увеличить точность и качество лечения, а также исключить ошибки. Микроскоп оснащен ксеноновыми и галогенными лампами, необходимая зона освещается максимально хорошо, и при этом не возникает теней.

Бинокуляры Zeiss (Германия)
У нас в клинике доктора используют в работе бинокулярные лупы, которые дают возможность полноценного обзора рабочего поля, чтобы рассмотреть нюансы зубной анатомии для лечения каналов зубов или качество препарирования под коронки. Они увеличивают обзор рабочего поля в несколько раз.

Электромиограф КОЛИБРИ
Используется для регистрации (диагностики) активности лицевых мышц. «Колибри» — беспроводной комплекс мониторинга электропотенциалов жевательных мышц (электромиография). Благодаря ему врач проводит экспресс-оценку положения нижней челюсти и уровня напряжения мышц.

Surgic Pro+ OPT - хирургический аппарат
Современный хирургический аппарат Surgic Pro от компании NSK (Япония) — это комплексная система последнего поколения, предназначенная для проведения имплантации любой сложности с уникальной функцией калибровки крутящего момента (ККМ).

EzRay Air Wall (VEX-S300W) - высокочастотный дентальный рентген | Vatech
EzRay Air Wall (VEX-S300W) – это новое слово в современной дентальной рентгенологической диагностике. Обеспечивает высокоточные прицельные снимки необходимы при терапевтическом и эндодонтическом лечении.

Vatech Pax-i 3D - панорамный аппарат и конусно-лучевой томограф последнего поколения
Томография зубов и челюстей дает максимально подробное и информативное изображение, которое позволяет послойно обследовать внутреннее строение аппарата челюсти. Тем самым, благодаря КЛКТ возможно поставить максимально точный диагноз, выбрать наилучший вариант лечения и имплантации.

Врачи:
Показать всехЗаявка на консультацию
Шаг 1:
Заявка на консультацию
Для того, чтобы записаться к врачу вам достаточно заполнить простую форму на нашем сайте, позвонить нам напрямую или отправить сообщение — и мы свяжемся с вами для уточнения всех необходимых деталей. После вашего обращения, наш менеджер оперативно перезвонит, чтобы согласовать удобные для вас дату и время приема, а также ответит на любые вопросы о предстоящем визите.
Шаг 2:
Напоминание о визите
Мы ценим ваше время, поэтому за сутки до назначенной даты наш сотрудник свяжется с вами, чтобы напомнить о предстоящем приеме или отправит Вам СМС с напоминанием о записи.
Шаг 3:
Консультация врача
При личной встрече с врачом, которая продлится от 40 до 60 минут, вы получите полное внимание специалиста. После тщательного анализа снимка, осмотра ротовой полости и ваших потребностей, врач составит персонализированный план лечения, который будет учитывать все особенности вашего случая.
Шаг 4
Анкета
Заполните анкету












